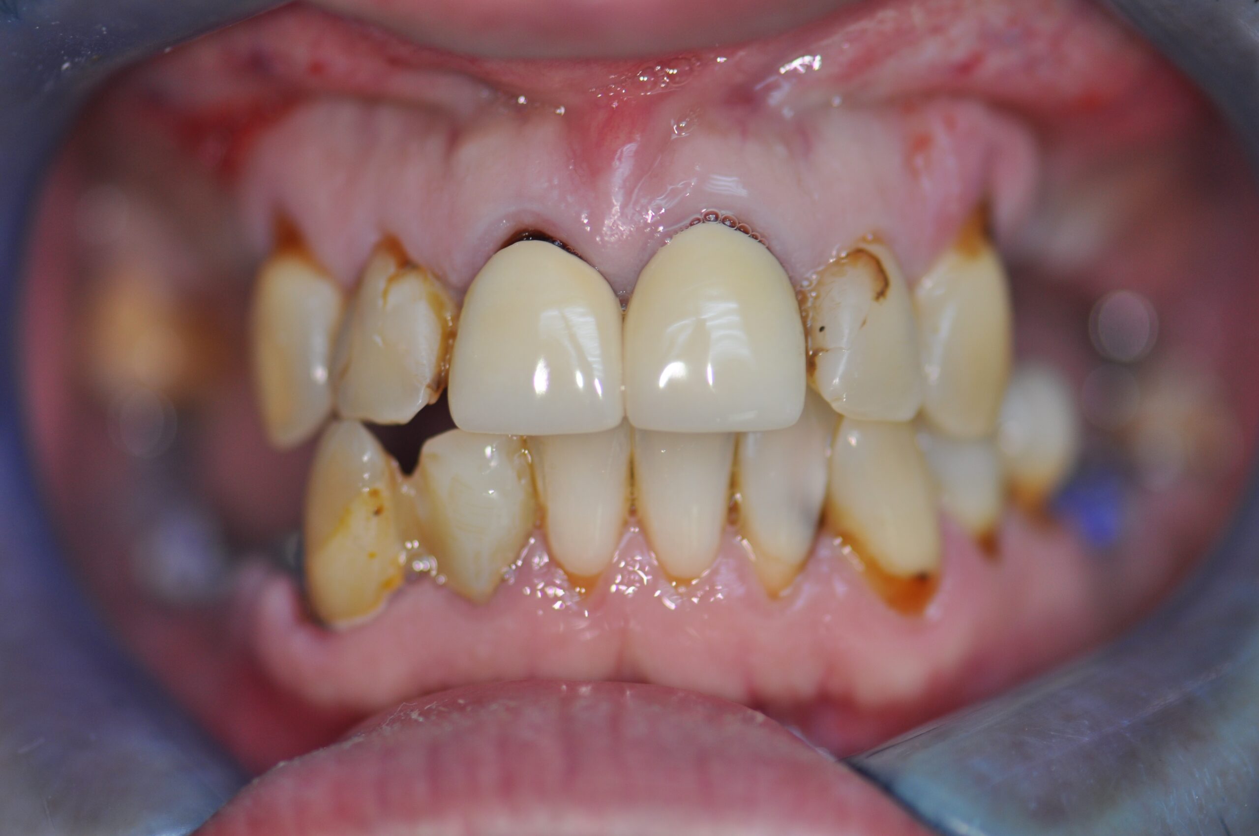
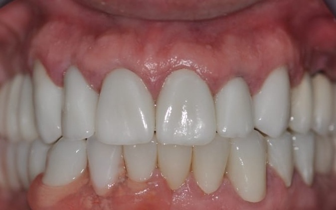
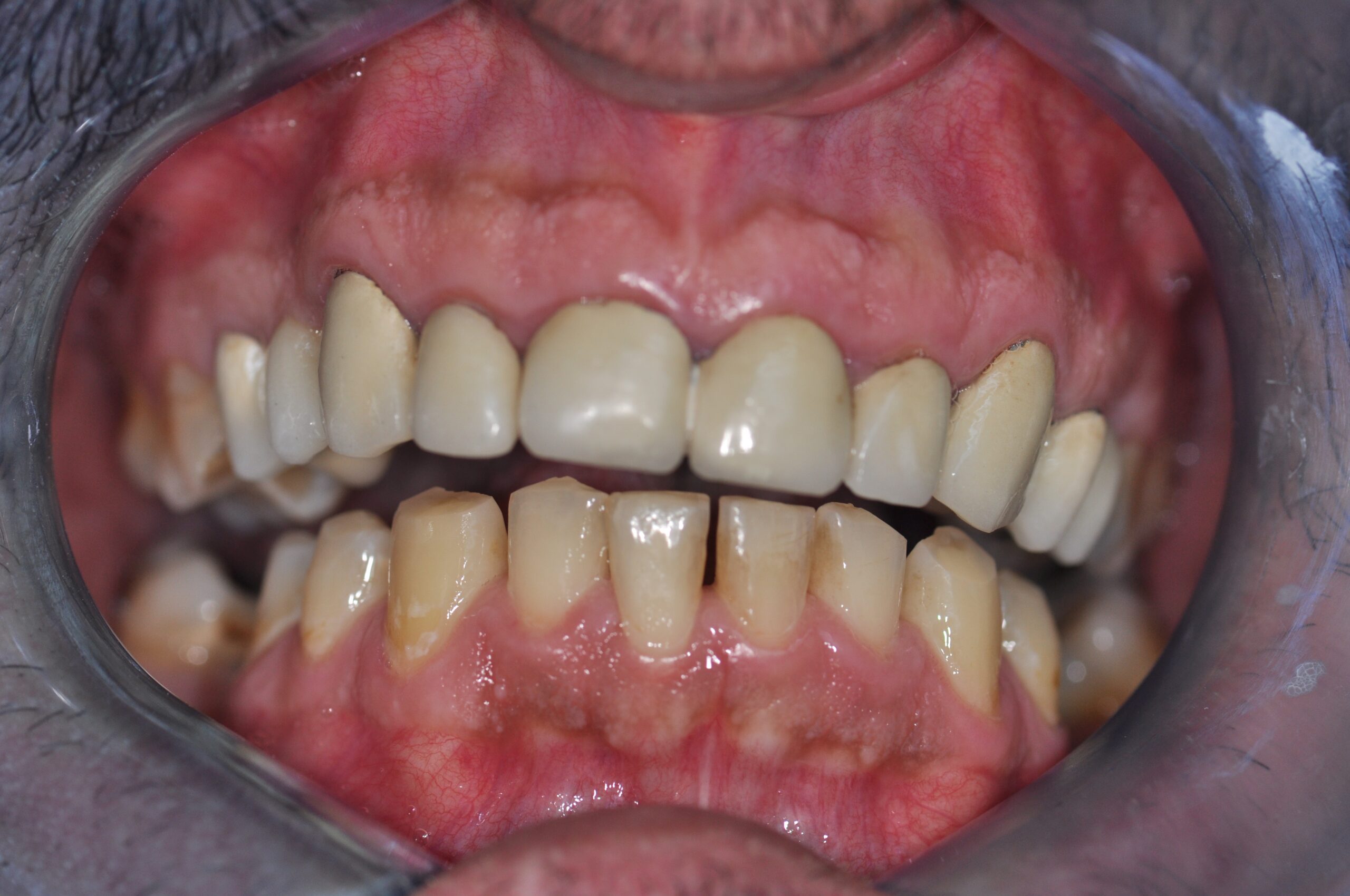
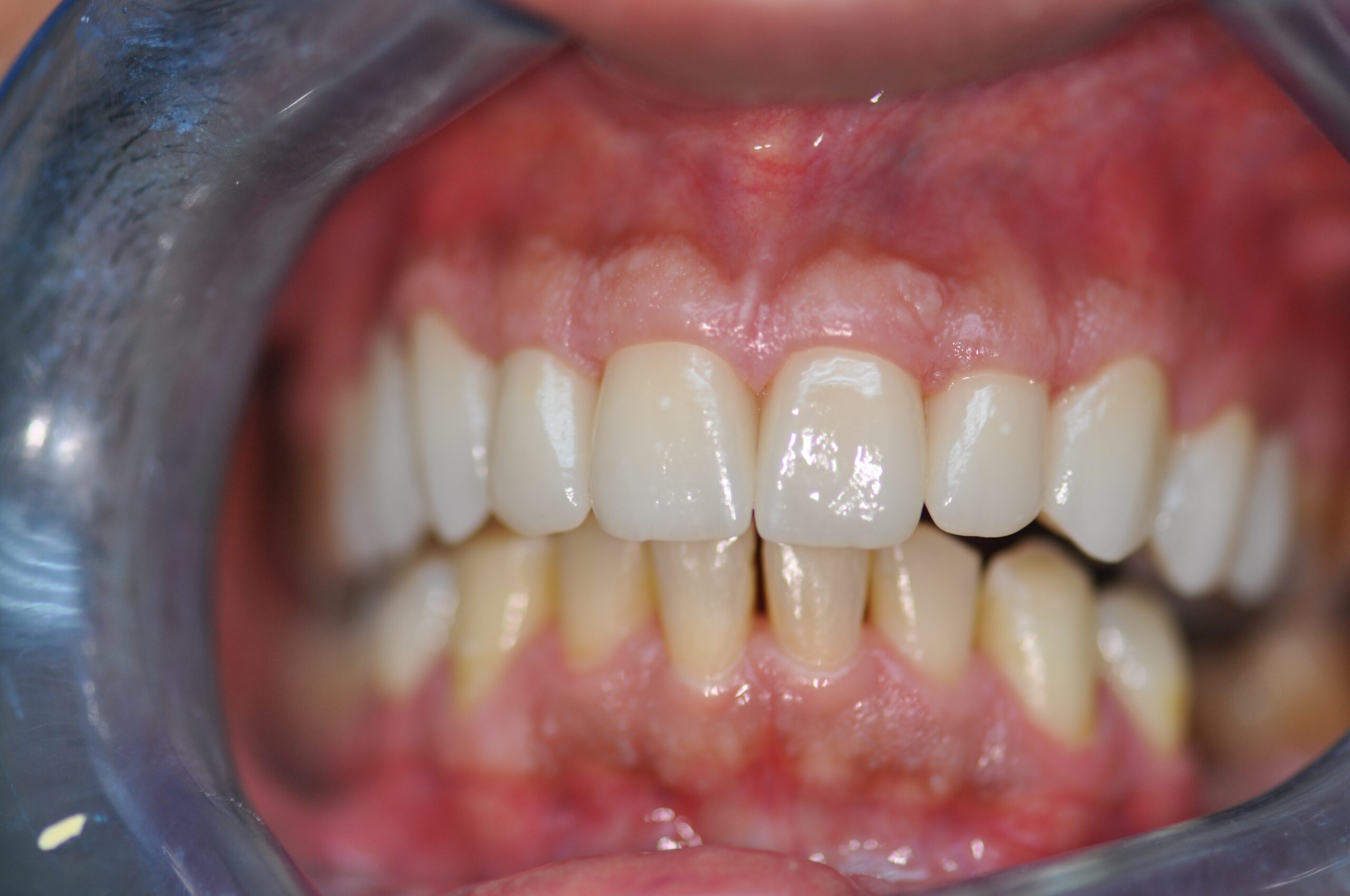
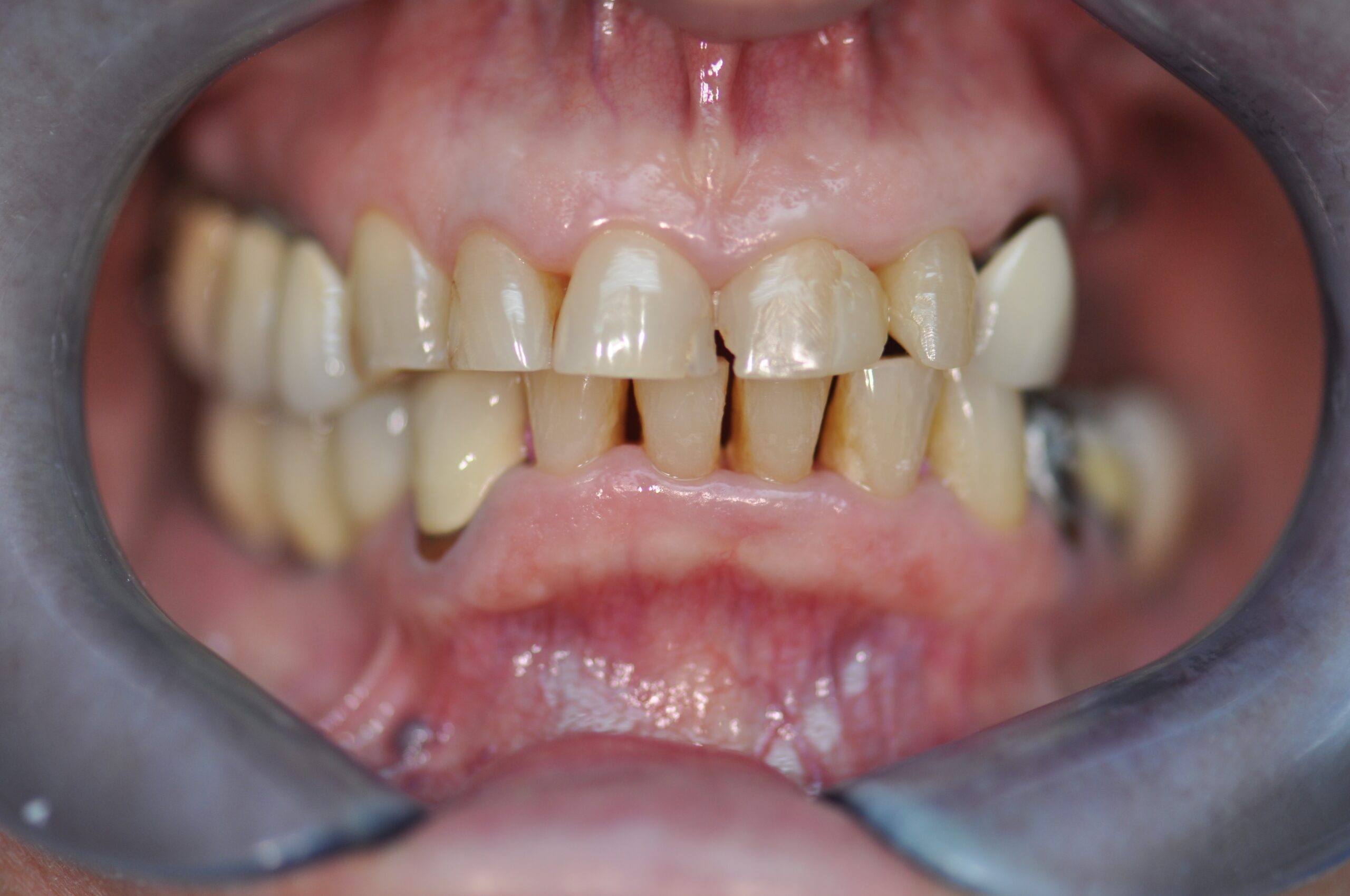
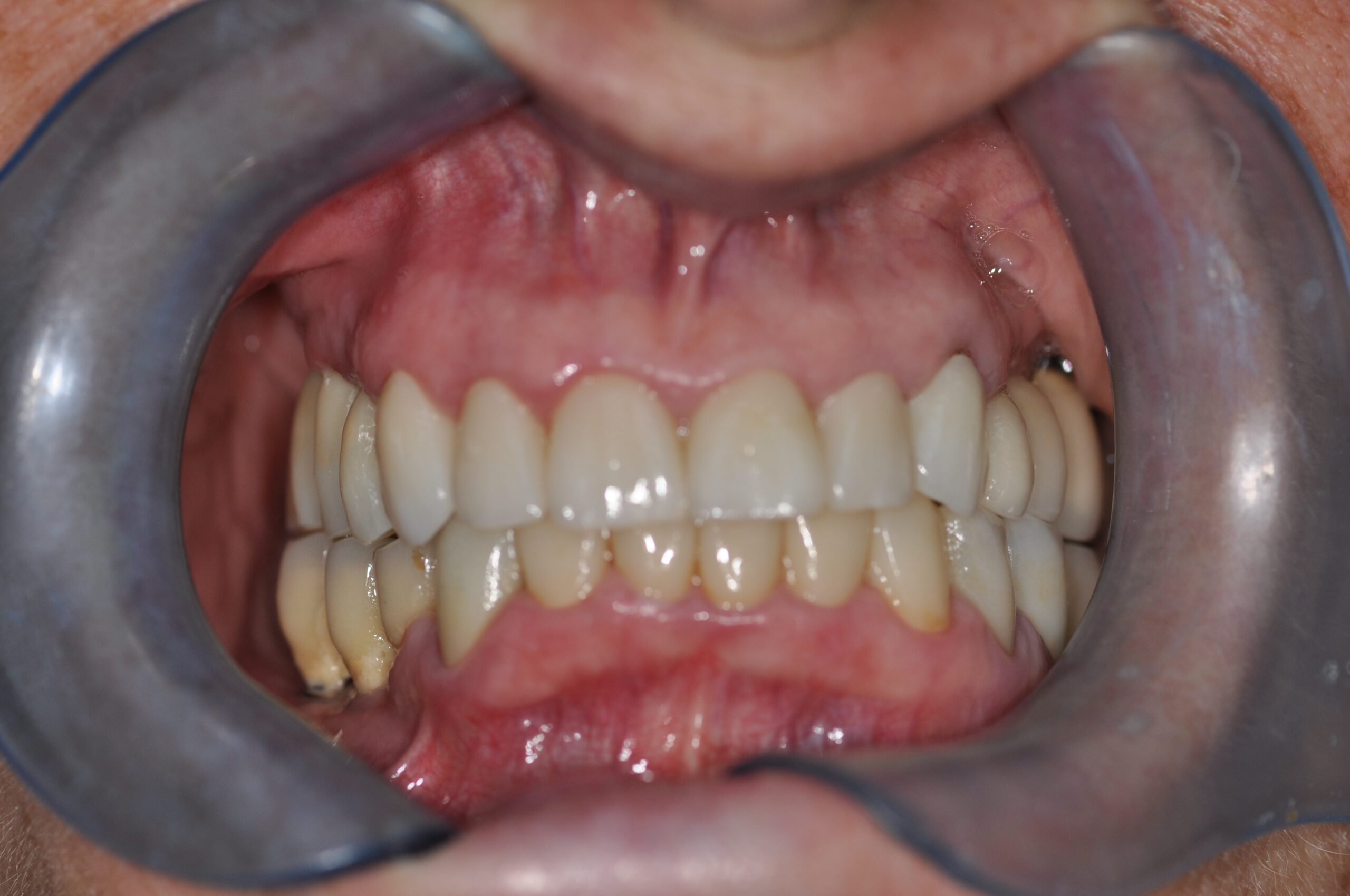
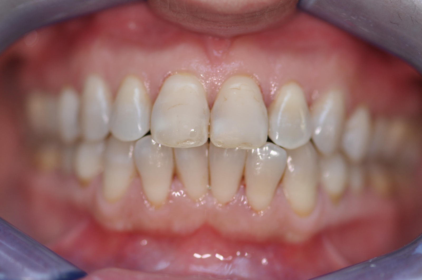
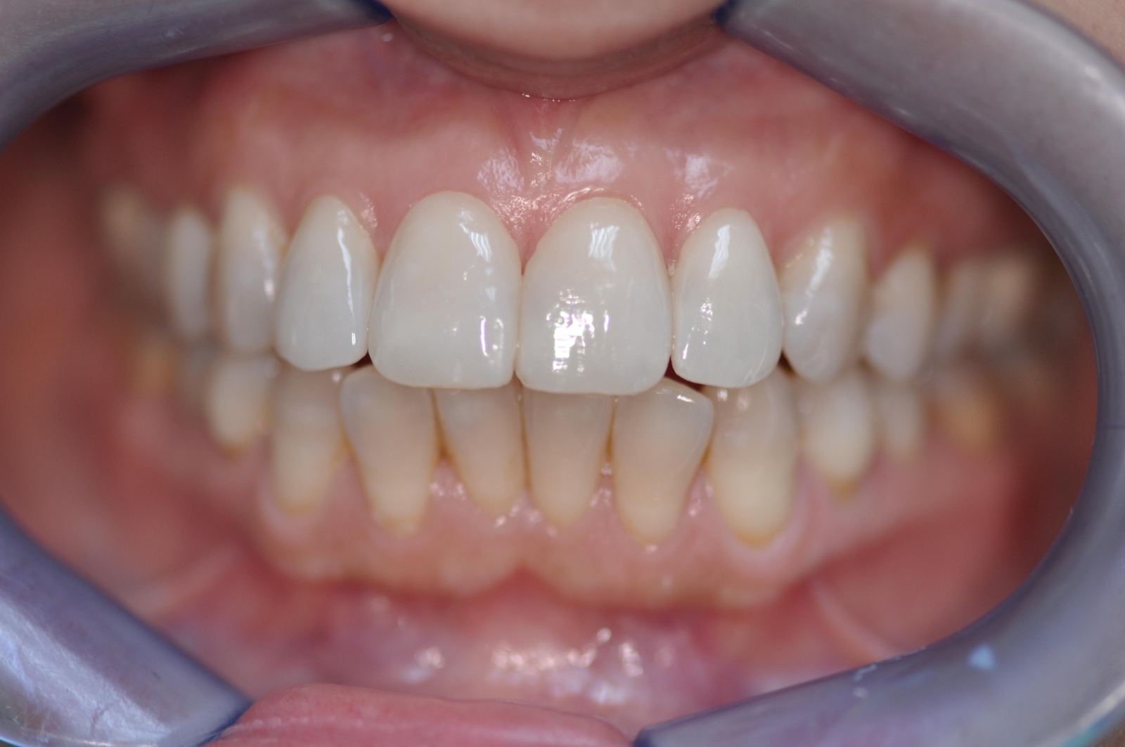
Les traitements dentaires esthétiques ont pour objectif d’améliorer l’apparence du sourire tout en préservant la santé bucco-dentaire.
Parmi les solutions les plus prisées figurent les facettes en céramique, qui permettent de corriger la forme, la couleur ou l’alignement des dents de manière naturelle et durable.
Quant aux prothèses en zircone, elles offrent une alternative haut de gamme aux couronnes classiques, combinant résistance, biocompatibilité et esthétisme.
Ces traitements sont idéaux pour retrouver un sourire harmonieux et renforcer la confiance en soi.
Nos Traitements Esthétiques :
- Les facettes en céramique
- Les prothèses en Zircone
PRENEZ VOTRE RENDEZ-VOUS EN LIGNE
Notre service de prise de rendez-vous en ligne vous permet de planifier votre visite en quelques clics. Choisissez le créneau qui vous convient le mieux, indiquez le soin souhaité et nous vous confirmerons rapidement votre rendez-vous.
Rapide, pratique et accessible 24h/24.







