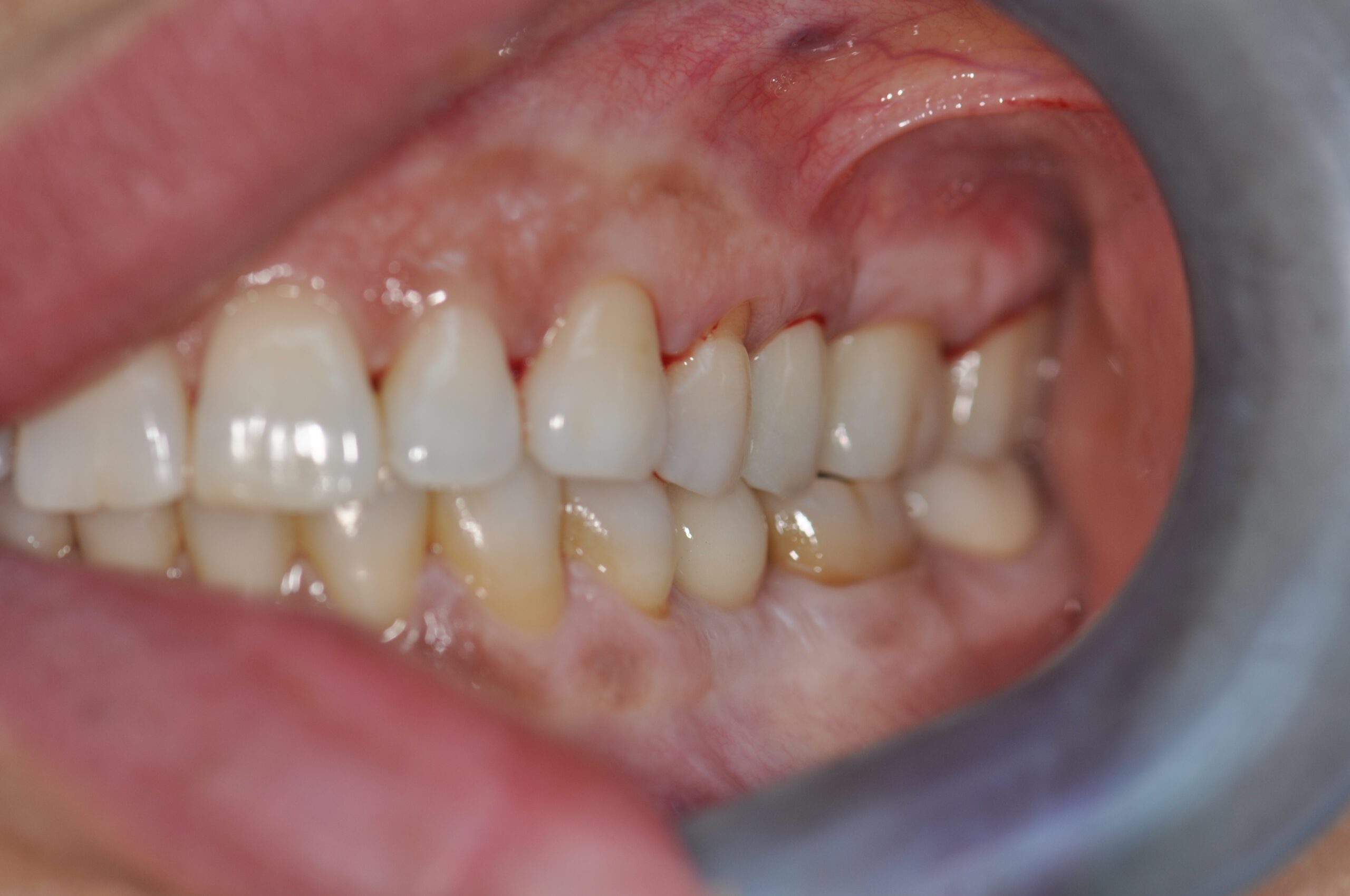
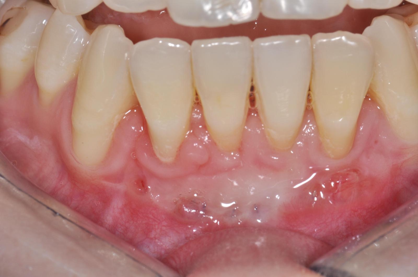
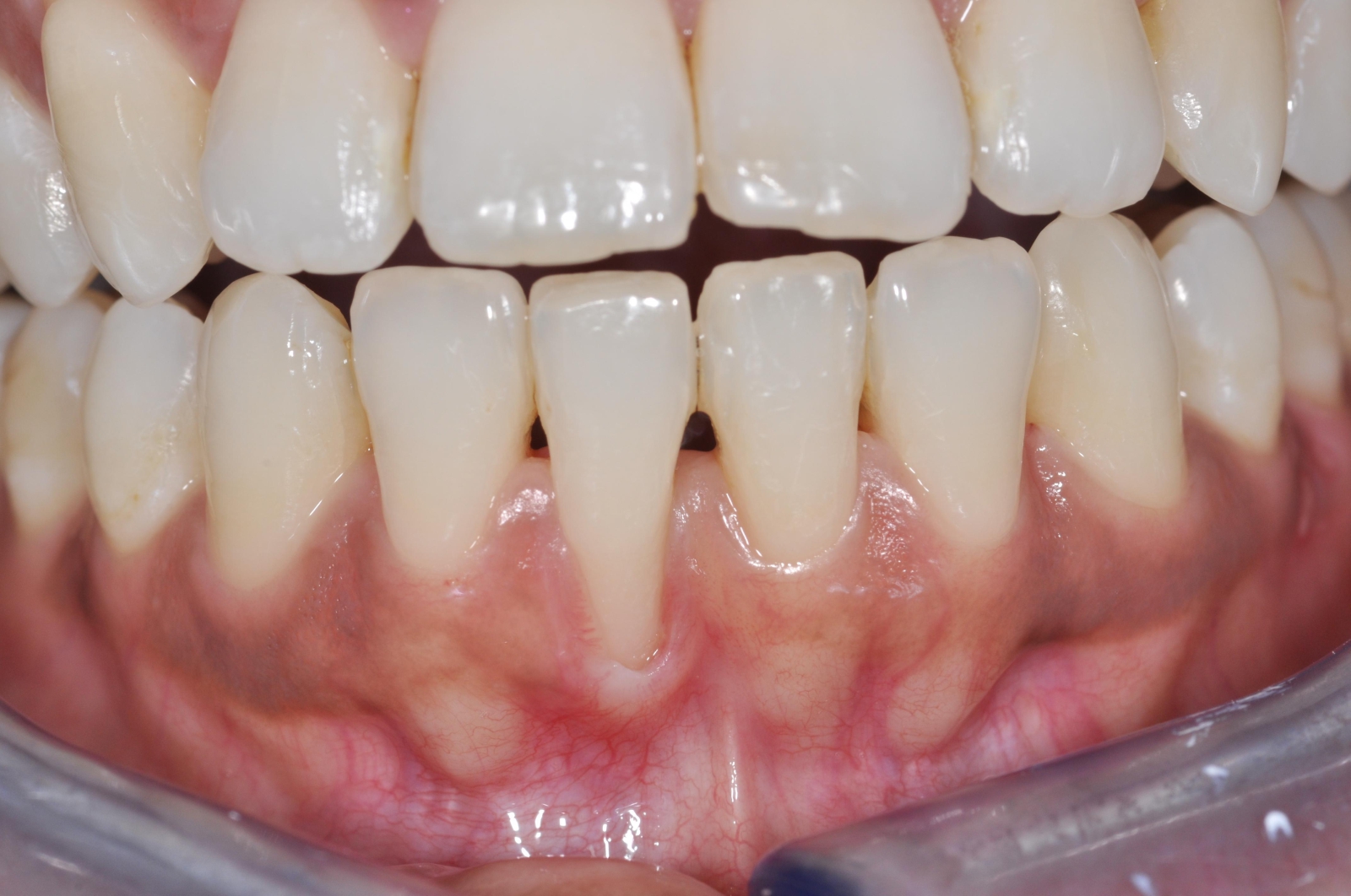
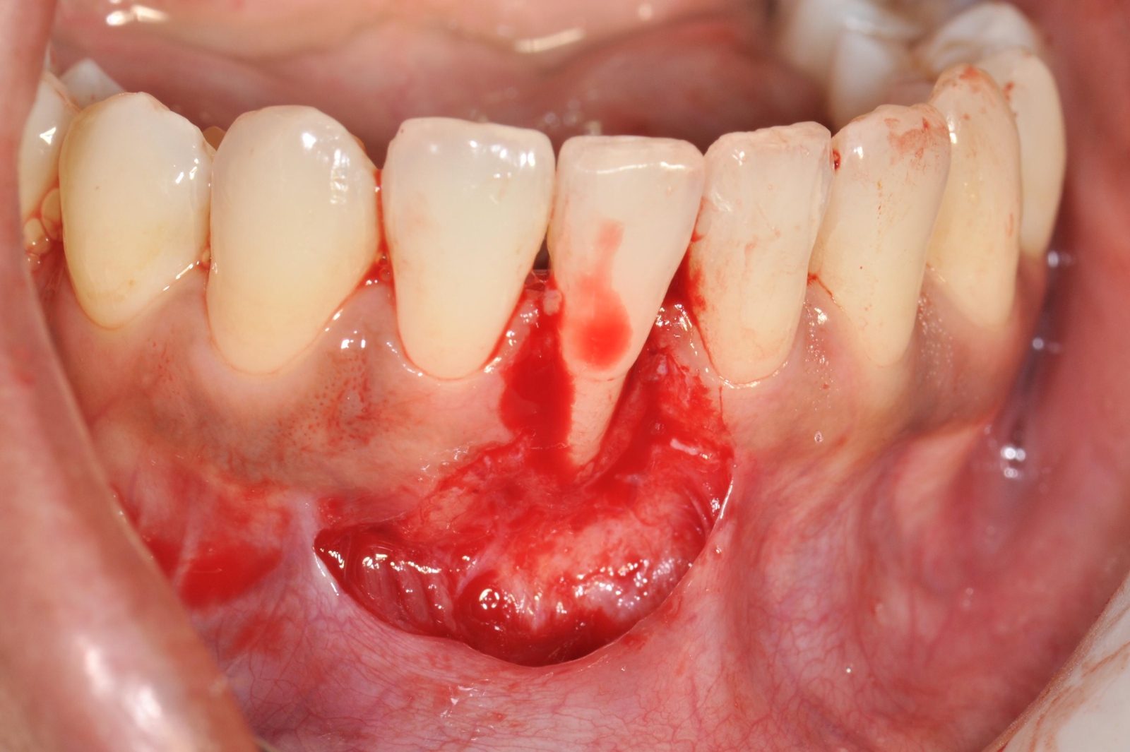
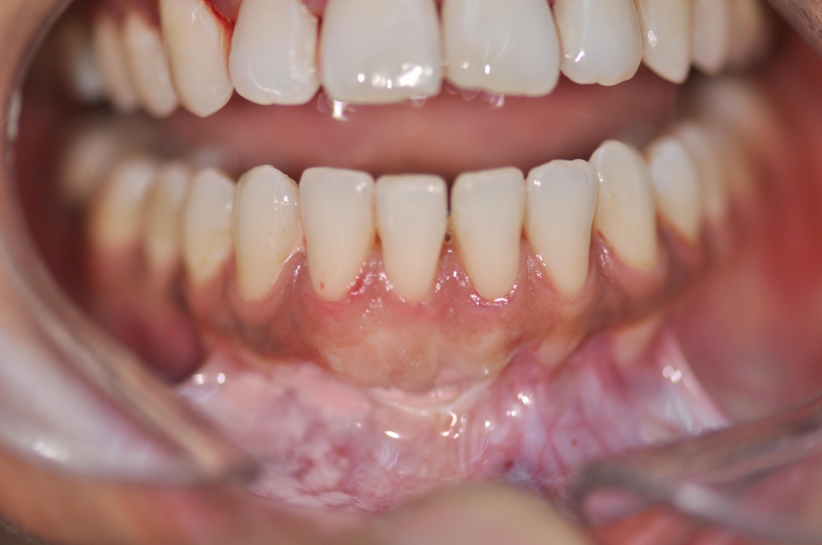
Le traitement parodontal vise à préserver la santé des gencives et à prévenir la progression des maladies parodontales. Il peut être non chirurgical, comme les détartrages profonds et le surfaçage radiculaire, permettant de stabiliser les tissus enflammés. Lorsque les atteintes sont plus avancées, des interventions chirurgicales sont nécessaires.
Celles-ci incluent la chirurgie à lambeaux pour un nettoyage en profondeur, la greffe gingivale ou conjonctive afin de renforcer les tissus, et la chirurgie du sourire gingival (ou "Gummy Smile") pour réharmoniser l’esthétique du sourire.
Ces traitements sont personnalisés en fonction de la gravité de la pathologie et visent à restaurer à la fois la santé buccale et la confiance du patient.
- Non Chirurgicale
- Chirurgicale :
- Chirurgie à lambeaux
- Greffe Gingivales et conjonctives
- Chirurgie de "sourire Gingivales" ou "Gummy Smile"
Chirurgie de "sourire Gingivales" ou "Gummy Smile"
Le sourire gingival est appelé Gummy Smile. Il s’agit d’une situation lors de laquelle la gencive descend trop bas sur les couronnes des dents, soit les parties qui sont normalement visibles lorsqu’on sourit.
Cela se traduit par des gencives proéminentes et des dents qui semblent plus courtes. Bien entendu, cela nuit à l’apparence du sourire.
PRENEZ VOTRE RENDEZ-VOUS EN LIGNE
Notre service de prise de rendez-vous en ligne vous permet de planifier votre visite en quelques clics. Choisissez le créneau qui vous convient le mieux, indiquez le soin souhaité et nous vous confirmerons rapidement votre rendez-vous.
Rapide, pratique et accessible 24h/24.












